※ 写真中央のスライダを左右にドラッグして画像を比較できます
症例 1
インプラント治療
前歯部の欠損をインプラント治療で補ったケース。歯並びも矯正しています。
症例 2
前歯部の審美的治療
前歯部の変色と歯の形態をセラミッククラウンで審美的に整えたケース。
症例 3
臼歯部のブリッジ治療
臼歯部の欠損をセラミックのブリッジで整えたケース。
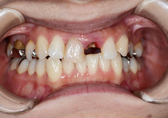
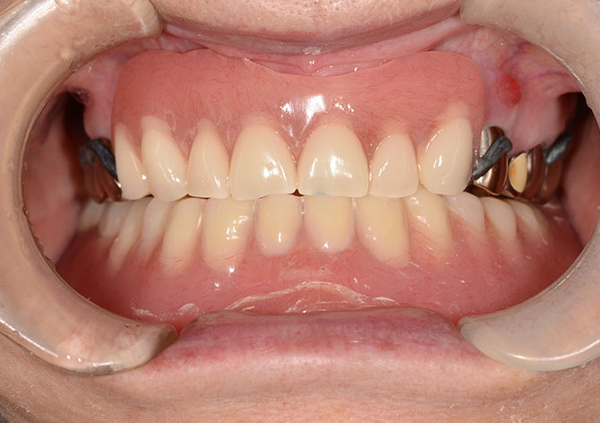
症例 4
入れ歯治療
上顎と下顎を入れ歯で治療したケース。
症例 5
矯正歯科治療
叢生の歯並びを矯正歯科治療で綺麗に矯正したケース。
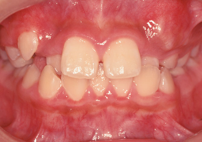
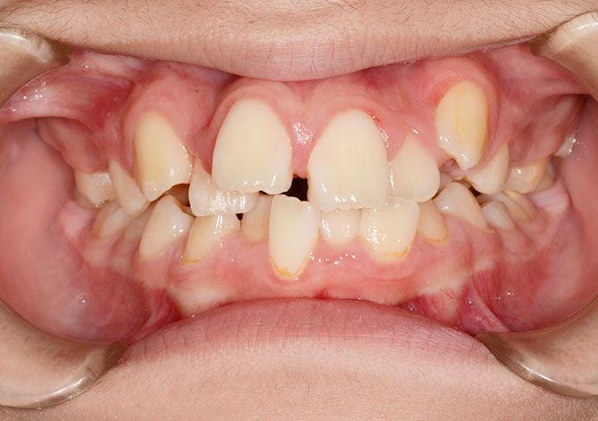
症例 6
矯正歯科治療
すきっ歯/叢生を矯正歯科治療で綺麗に整えたケース。






























