お子さんの「成長力」を活かして
理想の歯並びに!
- 悪い歯並びの「原因」にアプローチ
- 「床矯正」で快適な治療を実現





現代は栄養状態が非常に良い時代で、私たちの歯は大きくなる傾向があります。しかし、食べ物が多様化し柔らかくなっているため、歯を支える顎は小さくなっています。
小さな顎に大きな歯が生えると、どうしても歯並びが悪くなります。通常の矯正治療は、ガタガタになった歯を整えるものですが、根本的な治療にはなりません。時間が経つと、歯並びが後戻りすることからも分かります。

では、「根本的な改善」はどうすれば良いのでしょうか?
それには、歯が生える顎のスペースを広げる治療が必要です。歯が生えるスペースが十分に確保されれば、歯は無理なく綺麗に並びます。
顎の成長を促すためには、「しっかり噛む」食事に改善し、お口全体の機能を向上させるために「頬や舌の筋肉の訓練」、歯並びを悪化させる癖である「指しゃぶり、口呼吸、頬づえ」などの改善が必要です。
こうした取り組みとともに、当院では「装置」による改善も行っています。詳しくご説明いたします。

床矯正を理解するために、「4人掛けの椅子に5人が座る」状況を想像してみてください。狭いスペースに無理やり座るので、窮屈でデコボコした座り方になりますよね。
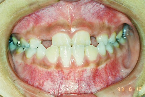
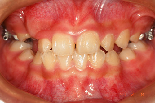
歯並びも同じで、「顎のスペースが狭い」と歯が重なりながら生えるしかなく(「叢生」)、結果としてデコボコの歯並びになります。
歯が綺麗に並ぶためには、歯が生えやすいように顎のスペースを広げる必要があります。
当院では、「床矯正」という治療法を行っています。床矯正とは、入れ歯のような取り外し可能な装置を口の中に入れ、ご家庭でねじを巻いて顎の大きさを拡大していく治療法です。従来の矯正治療ができない低年齢のお子さんでも始められ、できるだけ歯を抜かないで済む方法です。幼児でも簡単に取り外しができ、快適に矯正治療が行えます。
当院では、治療精度を高めるための取り組みとして「CT」と「セファロ」を導入しています。これにより患者さんの負担を軽くすると共に、正確な治療を提供しています。

「CT」は、歯や顎の骨の詳細な3D画像を撮影する装置です。通常のレントゲンでは見えない細部まで確認でき、より正確な診断が可能になります。
子どもの矯正では、顎の成長状態や歯の位置、歯の埋まり具合などを詳細に把握するために使用されます。これにより、最適な治療計画を立てることができ、治療の精度が向上します。
さらに、治療の進捗を定期的にチェックすることで、計画の微調整も行いやすくなります。

当院では矯正治療専門のレントゲンの一種である「セファロ」を導入しています。これは、歯や顎だけでなく、頭全体を正面と横から撮影するものです。この撮影により、歯をどのように動かすかを数値的に判断できるため、治療の精度を向上させることができます。

「子どもの矯正治療は何歳から始めるのがいいですか?」というご相談をよくいただきます。いつも次のようにご説明しています。
「最適な治療開始時期は、お子さんの状態によって異なります。治療を始めるかどうかに関わらず、まずは早い段階でお口の状態を診察させてください」
「何歳~何歳の間が治療を開始するのが適切」という情報もありますが、これはあくまで一般論であり、実際にはそれぞれのお子さんに最適な治療開始時期があるため、一概に何歳からとは決められません。
まずはお子さんのお口の中を診察させてください。診査・診断を行うことで、お口の中が今後どのように変わるか、その変化が適切かどうか、適切でない場合はいつ、どんな装置を使って治療を進めるべきかを判断できます。
「矯正の相談に行く=治療しなければならない」ではなく、「子どものお口の成長が適切かどうかを確認する」と考えて、歯科医院をご活用ください。
ぜひ一度ご相談ください。
「大人の矯正」と「子どもの矯正」には違いがあります。違いのポイントは、大人の場合は成長がすでに止まっていること、子どもの場合は成長段階にあることです。
「大人の矯正」では、顎の骨格と歯並びが完成しているため、顎と歯並びの不調和が大きい場合、歯並び矯正だけでなく、顎の位置を改善するための「外科手術」が必要になることがあります。
一方で「子どもの矯正」は、成長を適切な方向に誘導することで無理なく治療を進めることができ、理想の顎の骨格や歯並びにすることが可能です。子どもの矯正は、子どもの「成長力」を利用して、理想的な顎、歯並び、顔貌を形成していけることが最大のメリットです。
さらに、以下のメリットもあります。

子どもの矯正治療の基本原則は、「歯を抜かない」ことです。理由として、子どもの顎の骨は柔軟で広げやすく、歯を並べるスペースを確保できるためです。そのため、最終的にブラケットを使った治療が必要になった場合でも、歯を抜かずに治療する可能性が高くなります。
思春期に入ると、外見を気にするようになります。歯並びが悪いことでコンプレックスを抱き、人前で笑うのを避けたり、歯並びのせいであだ名をつけられ傷つくこともあるかもしれません。子どものうちに矯正治療を受けることで、そうしたコンプレックスを解消し、健やかな生活を送れるようになります。

歯並びは「顔の形」に大きく影響します。歯並びが整うことで、「かっこいい」や「きれい」な顔立ちになることが期待できます。

歯並びが悪いと、ブラッシングが十分にできず、虫歯や歯周病のリスクが高まります。生え変わったばかりの永久歯は硬さが十分でないため、虫歯になりやすいです。歯並びを改善し、歯磨きがしやすい環境を整えることで、虫歯や歯周病の予防ができます。
当院では、患者さんが抱えていらっしゃるお口のお悩みや疑問・不安などにお応えする機会を設けております。どんなことでも構いませんので、私たちにお話ししていただけたらと思います。
ご興味がある方は下記からお問い合わせください。